Cruciate Tear/ACL Tear Surgery

Learn More

Better care for the best pets.

Cranial Cruciate Ligament (CCL) Tears in Pets Cranial cruciate ligament tears are among the most common orthopedic conditions we treat at Hyde Park Veterinary Hospital. Similar to ACL injuries in humans, CCL tears in pets can significantly affect their mobility and comfort.
  • Symptoms: Look out for sudden or gradual onset of lameness, difficulty in standing or jumping, limping, and signs of pain when the knee is manipulated.
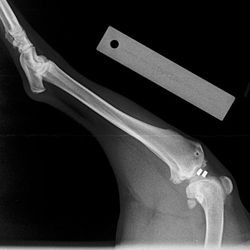
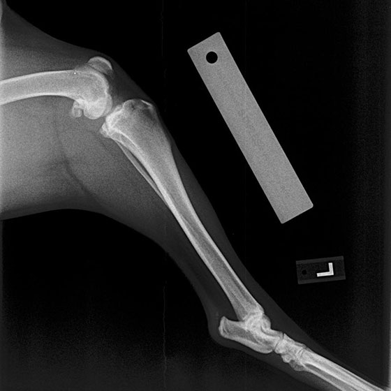
  • Diagnosis: Our veterinarians use a combination of physical examinations, palpation tests like the cranial drawer test, and often radiographs to confirm CCL tears. Early diagnosis can prevent further damage to the joint.
  • Treatment Options:
    • Conservative Management: For small dogs or pets where surgery isn’t an option, we might recommend strict rest, weight management, and physical therapy.
    • Surgical Repair: The most effective treatment for CCL tears, especially in active or large dogs, includes various techniques like extracapsular stabilization, TPLO (Tibial Plateau Leveling Osteotomy), or TTA (Tibial Tuberosity Advancement). These surgeries aim to stabilize the knee joint and reduce arthritis progression. Generally speaking, TPLO is superior to TTA, which is superior to extracapsular technique but our doctors will help you decide what is optimal for you and your pet.

Get Directions For more detailed information on CCL tears, visit the American College of Veterinary Surgery website: https://www.acvs.org/small-animal/cranial-cruciate-ligament-disease/.

If your pet shows signs of joint issues or has been diagnosed with a CCL tear or needs an FHO, don't hesitate to contact us. Let's work together to get your pet back to their happy, active self.

For an appointment or more information, please reach out at 519-518-2275.
Navigating the Path to Health Why Choose Hyde Park Veterinary Hospital for Your Pet's Cystotomy?